
鏡を見たときに、「歯と歯の間が黒いけど、これって虫歯?」と不安に感じている方は多いのではないでしょうか。
歯の黒ずみは虫歯だけでなく、コーヒーやたばこなどによる着色、歯石や歯周病、ブラックトライアングルなど、原因ごとに特徴や対処法が大きく変わります。
この記事では、歯と歯の間が黒く見える原因や放置するリスク、虫歯かどうかを見分けるためのポイント、対処法と予防法について詳しく紹介します。
歯と歯の間が黒く見える主な原因

歯と歯の間が黒いと感じる原因は一つではなく、虫歯や着色汚れ、歯茎の状態の変化まで、さまざまな要因が重なっている場合があります。
ここでは、歯の黒ずみが見られる代表的な原因について詳しく解説します。
虫歯
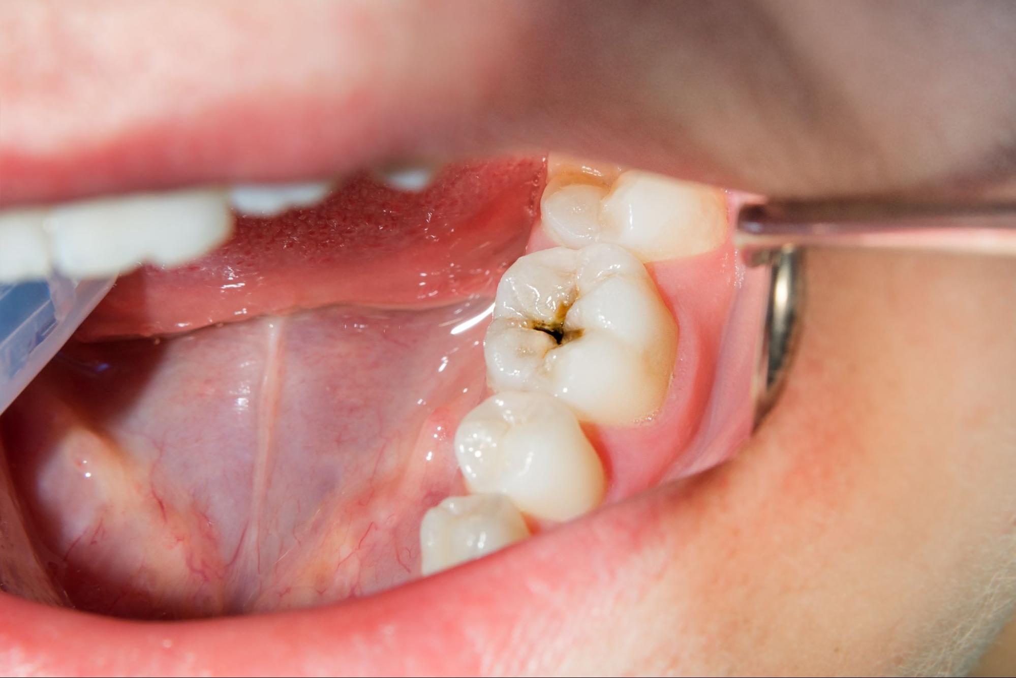
歯と歯の間が黒く見える原因として、まず疑われやすいのが虫歯です。
特に隣接面う蝕と呼ばれる歯と歯の間の虫歯は、自分では見えにくく、気づいたときには黒く影のように広がっていることがあります。
初期段階では痛みが出ないことも多いですが、歯の内部で進行するにつれ、冷たいものがしみたり噛んだときの違和感などの症状が現れます。
虫歯による黒ずみは、歯の表面に付着した汚れではなく歯質そのものが溶けて変色している状態のため、歯磨きや市販のホワイトニングでは元に戻りません。
様子見を続けても自然に治癒することはなく、むしろ神経まで達してしまうリスクがあるため、早めに歯科医院で治療を受けることが大切です。
⇒虫歯が痛いときの原因は?虫歯の進行度や痛みの対処法についても解説
⇒虫歯になりやすい人には共通点がある!虫歯を予防するためのポイントを解説
歯石や歯垢の蓄積による着色
歯と歯の間が黒く見える原因としては、歯石や歯垢の蓄積も考えられます。
歯垢は磨き残しの汚れで、放置すると唾液中の成分と結びついて歯石へと変化します。この歯石が長時間付着していると、黒っぽい色に変わることがあります。
特に歯と歯の間や歯茎の境目は歯ブラシの毛先が届きにくく、毎日のセルフケアだけでは完全に落としきれません。
その結果、歯と歯の間に黒い帯ができたように見えることがあります。歯石は一度できると歯磨きでは取れないため注意が必要です。
コーヒーやタバコなどによる色素沈着
コーヒーや紅茶、赤ワインやカレーなどの色の濃い飲食物、さらには喫煙習慣でも歯と歯の間が黒く見えることがあります。
これらに含まれる色素成分やタールは、歯の表面に薄い膜のように付着し蓄積していくことで、やがて黒っぽい筋や点として目立っていきます。
特にエナメル質の表面に細かな凹凸がある場合や、以前の治療跡の境目などは色素が入り込みやすく、歯と歯の間だけが線状に濃く見えることが少なくありません。
このタイプの色素沈着は、虫歯のように歯が溶けているわけではないため、必ずしも緊急の治療が必要とは限りませんが、セルフケアだけでは限界があります。
歯茎が下がることで生じるブラックトライアングル
歯と歯の間が黒く三角形に見えるブラックトライアングルは、歯そのものが黒くなっているのではなく、歯茎が下がることで生じた隙間が原因です。
加齢や歯周病に伴う歯槽骨の吸収などで歯茎が下がり、歯と歯の間に隙間が生じ、その奥の暗がりが口腔内の影として黒く見えてしまいます。
ブラックトライアングルは見た目の問題だけでなく、隙間に食べかすやプラークが溜まりやすくなることで、虫歯や歯周病のリスクが高まる点にも注意が必要です。
⇒虫歯で歯茎が腫れた!原因と応急処置、歯医者に行くべきタイミングを徹底解説
詰め物や被せ物による黒ずみ
以前治療した詰め物や被せ物が原因で、歯と歯の間が黒く見えてしまうケースもあります。
金属の詰め物や被せ物は、時間の経過とともに周囲の歯茎に金属イオンが溶け出し、歯茎の縁が黒く変色して見えることが少なくありません。
また、レジンやセラミックと歯との境目にわずかな段差や隙間があると、その部分に色素や汚れが入り込み、線状の黒ずみとして目立ってくることもあります。
見た目が気になる場合や、詰め物の境目でフロスが引っかかるなどの症状がある場合は、詰め物や被せ物の適合状態を歯科医院でチェックしてもらうことが大切です。
神経を失った歯の変色
歯の神経を失った歯が、時間の経過とともに内部から黒っぽく変色し、歯と歯の間が暗く見えることもあります。
最初はわずかな黄ばみ程度でも、歯髄が失われたことで歯の内部に血液成分や代謝産物が残り、それが徐々に透けて見えてくることで黒に近い色調まで変化していきます。
特に前歯など目立つ部位で神経を取った経験がある方は、「一本だけくすんで見える」といった見た目の悩みを抱えやすいです。
また、神経を失った歯は割れやすくなる傾向もあるため、見た目の改善と同時に、歯の強度や噛み合わせも含めて総合的に診てもらいましょう。
歯と歯の間の黒ずみが虫歯かどうかを見分けるポイント

歯と歯の間の黒ずみが虫歯かどうかを見分けることは、セルフチェックに役立ちます。ここでは、具体的なポイントについて詳しく解説します。
初期虫歯は黒い点や影として現れる
歯と歯の間の初期虫歯は、うっすらとした黒い点や影のように見えることがあります。
特に隣接面と呼ばれる部分は鏡で見ても全体が確認しづらく、光の当たり方によってはグレーの筋程度にしか見えない場合も少なくありません。
この段階では、エナメル質の表面がわずかに溶け始めている状態で、まだ痛みやしみるといった自覚症状が出ないことも多いです。
色は気になるけど生活に支障はないと放置されがちですが、初期虫歯は進行を抑えたり小さい治療で済む可能性があるタイミングでもあります。
少しでも気になる黒い点や影が現れたら、早い段階で歯科受診を検討しましょう。
虫歯が進行すると黒ずみが広がる
虫歯が進行していくと、黒い点や影が範囲の広いシミのような状態へと変化していきます。
エナメル質の下にある象牙質まで虫歯が進むと、内部で溶けた部分が広がり、外側から見ても黒や茶色の面積が増えたように感じることが多いです。
この頃には、黒い部分の周囲を爪やフロスでそっと触ると、引っかかりを感じたり、ざらつきがあったりすることもあります。
さらに進行すると、黒ずんだ部分が欠けたり、歯と歯の間に明らかな穴が空いたりして、食べ物が詰まることも少なくありません。
冷たいものや甘いものがしみる場合は要注意
歯と歯の間の黒ずみに加えて、冷たい飲み物や甘いものを口にしたときにキーンとしみる感覚がある場合は、虫歯が進行しているサインの一つと考えられます。
初期の虫歯ではあまり症状が出ませんが、虫歯が象牙質に達すると、歯の内側にある神経に刺激が伝わりやすくなり、ピリッとした痛みを感じることが増えてきます。
しみる感覚は一時的におさまることも多いですが、原因である虫歯は静かに広がり、より強い症状へ進むリスクがあるため注意が必要です。
しみる症状は、知覚過敏など他の原因で起こることもありますが、自己判断は難しいため、少しでも違和感を感じたら歯科医院で原因をはっきりさせましょう。
内側から進行して外から見えにくいことがある
歯と歯の間の虫歯は、外側から見える部分よりも内側で広がっていることがあります。
表面に小さな入り口しかなくても、象牙質で虫歯が横方向に広がっていくため、見た目には小さな黒い点でも、中では大きな虫歯になっているケースが多いです。
また、歯の裏側や隣接面は、自分で直接確認しづらい部位であり、黒ずみや穴があっても見落としてしまうことも少なくありません。
レントゲン撮影を行うと、肉眼ではわからなかった虫歯の広がりがはっきり見えることもあるため、定期的な検診で専門的なチェックを受けることが大切です。
フロスが引っかかる場合は虫歯のサイン
歯と歯の間の状態を知るうえで、デンタルフロスの感触は重要なヒントになります。
フロスを通したときに、特定の場所だけ引っかかる・ほつれる・切れてしまうといった症状がある場合、その部位の歯面に虫歯の穴や段差ができている可能性があります。
虫歯が進行して歯の一部が溶けてくると、表面が滑らかではなくなり、フロスの糸がひっかかったり、同じ箇所で繊維がバラバラになったりしやすくなります。
また、フロスを通した瞬間に、黒ずみのある辺りがピリッとしみたり、違和感を覚えたりする場合も要注意です。
歯と歯の間が黒いときの対処法と予防法

歯と歯の間が黒くなるのを防ぐには、原因に合わせた対処と毎日のケアが欠かせません。ここでは、今日から実践できる対処法と予防法について詳しく解説します。
デンタルフロスと歯間ブラシの活用
歯と歯の間の黒ずみ対策の基本になるのが、デンタルフロスと歯間ブラシの活用です。
歯ブラシだけでは、歯と歯の間の汚れは取り切れず、その磨き残しが歯垢や歯石、着色汚れ、さらには虫歯や歯周病の原因になります。
デンタルフロスは、主に歯と歯の接触している部分の汚れをかき出すのに適しており、歯面に沿わせて上下に動かすことで、黒ずみの元となる歯垢を効率よく除去できます。
歯間ブラシは、隙間がやや広い部位やブラックトライアングルができている部位に向いており、サイズを適切に選ぶことで歯茎を傷つけずに汚れを落とせます。
毎日の歯磨き前後のどちらかで、少なくとも1回はフロスや歯間ブラシを習慣化すると、黒ずみの予防だけでなく、虫歯や歯周病の早期発見にも役立ちます。
正しい歯磨き方法の見直し
歯と歯の間の黒ずみを防ぐには、毎日の歯磨きそのものを見直すことも大切です。
力任せにゴシゴシ磨いてしまうと、歯茎が傷ついて下がりやすくなり、ブラックトライアングルを招いて黒い隙間が目立ってしまうことがあります。
理想は、ペンを持つように歯ブラシを軽く握り、毛先を歯と歯茎の境目に45度ほどの角度で当て、小刻みに動かしながら1〜2本ずつ丁寧に磨く方法です。
特に歯と歯の間の付け根部分は汚れが溜まりやすいため、ブラシの先端を少し押し込むイメージで細かく動かすと、黒ずみの原因となる歯垢を落としやすくなります。
着色しやすい飲食物の摂取管理
色の濃い飲食物は歯の表面にステイン(色素)を残しやすいため、完全に避ける必要はありませんが、飲み方と食べ方を工夫することが大切です。
例えば、コーヒーやお茶を長時間飲み続けるのではなく、ある程度時間を区切って摂る、飲み終わったら水やお茶で軽く口をすすぐなどが挙げられます。
また、喫煙習慣がある場合は歯と歯の間が黒く汚れやすくなるほか、歯周病リスクも上がるため、禁煙や減煙を検討することが口元の印象改善につながりやすいです。
日常的に色の濃い飲食物をよく摂る自覚がある方は、摂取回数やタイミングを意識的にコントロールし、着色が気になり始めた段階でクリーニングを受ける習慣をつけましょう。
市販のホワイトニング用品の活用
歯と歯の間の軽い着色であれば、市販のホワイトニング歯磨き粉やホワイトニングシートなどを上手に活用することで、ある程度のトーンアップを期待できる場合があります。
ただし、これらのアイテムは汚れを落とすことを目的としているものが多く、虫歯や歯石そのものを治療できるわけではない点を理解して使うことが重要です。
ホワイトニング歯磨き粉を使う場合は、歯科医推奨のものや、低研磨タイプでステイン除去成分が配合されたものを選び、軽い力で丁寧に磨きましょう。
また、ホームホワイトニング効果をうたうマウスピースやジェルなどは、歯や歯茎の状態によって適さないケースもあるため、使用前に歯科医院で相談しておくと安心です。
定期的な歯科受診の重要性
歯と歯の間の黒ずみを防ぐためには、定期的な歯科受診を習慣にすることが不可欠です。
自宅でのケアだけでは、どうしても歯石や磨き残しが少しずつ蓄積し、目に見えない初期虫歯や歯周病が進行してしまうことがあります。
歯科医院では、専用の器具や超音波スケーラーを用いたクリーニングにより、歯と歯の間や歯茎の境目にこびりついた歯石や着色を安全に除去できます。
また、レントゲン検査や歯周ポケット検査を通じて、見た目では分からない隣接面の虫歯や歯茎の状態を確認できるため、トラブルの早期発見・早期治療にもつながります。
一般的には、3〜6か月に1回程度の定期検診が推奨されますが、虫歯や歯周病のリスクなどで頻度は異なるため、歯科医と相談しながら決めるとよいでしょう。
まとめ
歯と歯の間が黒く見える原因は、虫歯だけでなく、歯石や着色、ブラックトライアングル、過去の治療や神経を失った歯の変色など多岐にわたります。
見た目だけで自己判断すると対応が遅れ、虫歯や歯周病が進行してしまうこともあるため、早期発見・早期治療のために定期的な歯科受診を検討しましょう。
歯と歯の間が黒い、冷たいものを飲むとしみるなどの症状にお悩みの方は、『下高井戸パール歯科クリニック・世田谷』にご相談ください。
当院は可能な限り痛みを抑えた治療を心がけており、原因菌をしっかり除去し、虫歯の再発防止に努めています。まずは、お気軽にお問い合わせください。
