
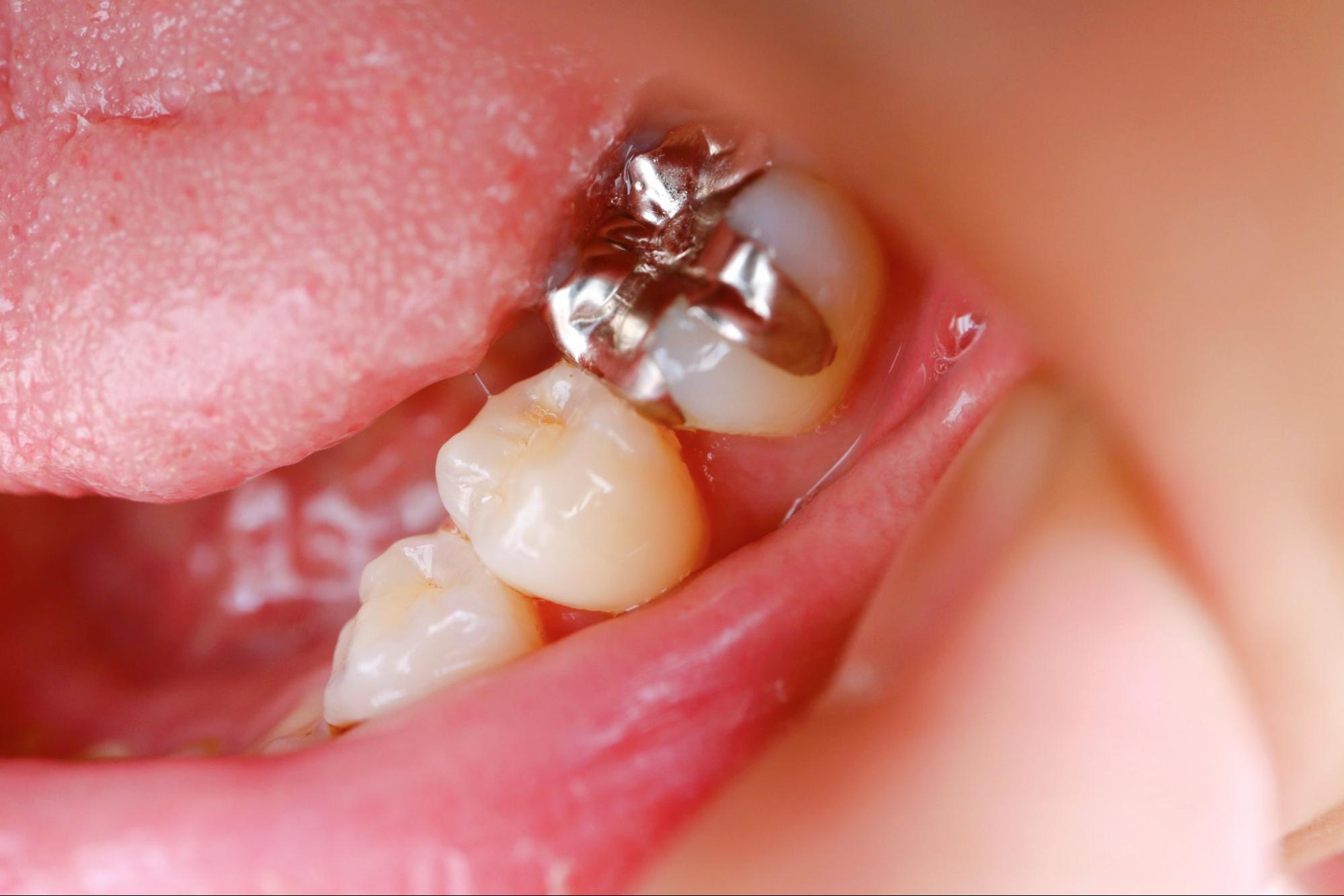
治療後の銀歯と歯の間に隙間があり、「食べ物がよく挟まるけど様子見で大丈夫か」と不安に感じている方は多いのではないでしょうか。
銀歯と歯の境目にできたわずかな隙間は、そこから細菌や汚れが入り込み、虫歯や歯周病が進行しやすくなるサインの一つです。
痛みがないうちはつい放置しがちですが、気づかないうちに銀歯の下で虫歯が広がり、神経の治療や最悪の場合は抜歯が必要になることもあります。
この記事では、銀歯の隙間が気になる原因、放置するリスク、セルフチェックの方法、歯科医院で行われる主な治療法について詳しく紹介します。
銀歯の隙間が気になる原因

銀歯の隙間が気になる原因は、複数の要因が重なって起こることもあります。ここでは、代表的な原因について詳しく解説します。
虫歯の再発
銀歯と歯の間に隙間ができているとき、特に注意したいのが虫歯の再発です。
いったん治療が終わった歯でも、銀歯と歯の境目にはわずかな段差や継ぎ目があり、その部分にプラークや食べカスが残りやすい状態になります。
そのままの状態が続くと、細菌が出す酸で歯の内部が再び溶かされ、目には見えない場所で虫歯が広がっていくことがあります。
再発した虫歯は初期段階では気づきにくく、痛みが出たときには神経近くまで進行しているケースもあるため、隙間が気になり始めたらすぐに受診することが大切です。
銀歯そのものの経年劣化
銀歯は金属でできているため、一度装着したら半永久的にもつと考えられがちですが、実際には経年劣化を避けることはできません。
長年使っているうちに、金属表面がわずかに摩耗したり腐食したりして、最初は合っていた部分に微細な隙間が生じることがあります。
また、過去に保険診療で作られた銀歯の中には、現在の技術や材料と比べると精度が十分でないものもあり、適合が甘くなっていくことも少なくありません。
こうした変化が重なると、歯との境目に段差や隙間ができ、そこから汚れが入り込んで虫歯の原因になることもあるため注意が必要です。
歯ぎしりや食いしばりによるズレ
睡眠中の歯ぎしりや日中の食いしばりも、銀歯と歯の隙間を生む大きな要因になります。
強い力が繰り返しかかると銀歯にも負担が集中し、少しずつ形が変わったり、セメントが緩んだりする可能性があります。
その結果、装着時は合っていた銀歯が年月とともに少しずつ浮いていき、境目に隙間や段差が生じてしまいます。
特に、ストレスが多い・デスクワークが中心・集中すると歯を噛みしめるクセがある方は、自覚がなく強い力をかけているケースがあるため注意が必要です。
噛み合わせの変化による影響
噛み合わせは一度の治療で終わりではなく、その後の生活のなかで変化していきます。
例えば、別の歯を治療して高さが変わったり、歯周病で歯がぐらついたりすると、それまで均等にかかっていた力のバランスが崩れることがあります。
このとき、特定の銀歯だけに負担が集中すると、わずかながら歯と銀歯の位置関係がずれ、境目に隙間や段差が生じやすくなります。
定期的に噛み合わせをチェックしてもらい、必要に応じて微調整してもらうことで、銀歯への過度な負担を減らし、隙間の発生や再治療のリスクを抑えることが期待できます。
歯茎の下がりによる隙間露出
歯茎が下がると、それまで隠れていた歯の根元や銀歯の縁の部分が露出し、今まで見えなかった境目のラインが見えることで隙間が気になることがあります。
これは、銀歯そのものが突然ずれたというより、歯茎側が下がった結果として隙間が見えるようになった状態です。
ただし、露出した部分は汚れがたまりやすく、知覚過敏や虫歯リスクが高まるため、見た目だけの問題と考えて放置するのはおすすめできません。
また、歯周病が進行すると、歯を支える骨が溶けて歯が長く見えるだけでなく、歯と銀歯の適合にも影響が出る場合があるため注意が必要です。
銀歯の隙間を放置するリスク

銀歯の隙間は気になるものの、「痛みはないから様子を見ておこう」と考える方は少なくありません。ここでは、銀歯の隙間を放置するリスクについて詳しく解説します。
虫歯の進行
銀歯と歯の間に隙間があると、そのわずかなすき間から細菌や食べカスが入り込み、内部で虫歯が進行しやすくなります。
表面から見ると一見きれいに見えていても、銀歯の下側では歯が徐々に溶け、気づいたときには大きく広がっているケースも珍しくありません。
特に奥歯は、自分の目で確認しづらくブラッシングも行き届きにくいため、気づいたら神経近くまで虫歯が進行しているケースもあります。
虫歯が深くなるほど削る量が増え、最悪の場合は神経を取らなければならないこともあるため、隙間に気づいた段階で早めに対処することが大切です。
歯周病の悪化
銀歯の隙間は、虫歯だけでなく歯周病の温床にもなります。
境目にできた段差や隙間にはプラークや歯石がたまりやすく、歯茎に慢性的な炎症が起きやすい環境がつくられます。
その状態を放置すると、歯茎の腫れや出血が続くだけでなく、歯を支えている骨が少しずつ溶けていき、歯周病が静かに進行していきます。
特に、すでに歯周病の傾向がある方や、ブラッシングが不十分になりがちな方は、銀歯の隙間が歯周病悪化のきっかけになることがあるため注意が必要です。
銀歯の脱落や破損リスク
隙間が生じた銀歯を使い続けると、銀歯が外れたり欠けたりするリスクが高まります。
これは、境目に汚れや細菌が入り込むことで、内部の歯が溶けて支えが弱くなり、噛む力に耐えきれなくなってしまうためです。
銀歯が外れてしまうと、むき出しになった歯は非常にしみやすく、虫歯の進行も一気に加速する可能性があります。
銀歯が外れたり破損してから受診するよりも、隙間に気づいた段階で早めにチェックしてもらうほうが、経済的な負担も抑えられます。
口臭の悪化
銀歯と歯の隙間は汚れだまりになりやすいため、口臭の原因になることがあります。
小さな隙間の中に食べカスやプラークが残ると、細菌がそれらを分解する際に嫌なにおいのガスを発生させます。
自分では丁寧に歯を磨いているつもりでも、ブラシの毛先が届かない部分には汚れが残り続け、慢性的な口臭につながることも少なくありません。
また、隙間から内部で虫歯や歯周病が進行している場合、その炎症や膿も口臭が悪化する要因になるため注意が必要です。
治療が大がかりになる
銀歯の隙間を放置すると、最終的な治療が大がかりになりやすいリスクがあります。
隙間から虫歯や歯周病が静かに進行すると、銀歯を外した時点で予想以上に歯が溶けていたり、歯茎や骨の状態が悪化していることが多いです。
この場合、新しい銀歯や詰め物を入れ直すだけでは済まず、神経の治療や歯周病の外科処置など、段階を踏んだ複雑な治療が必要になることも少なくありません。
さらに、歯の保存が難しいと判断された場合には、抜歯やブリッジ、入れ歯やインプラントなどの大がかりな選択肢を検討することもあります。
隙間が気になると感じた早い段階で受診し、原因を特定して対処しておけば、治療は比較的シンプルに済む可能性が高くなります。
銀歯の隙間が気になるときのセルフチェック方法

銀歯のまわりに隙間がある気がする、本当に受診したほうがいいのか迷うという場合は、自宅でできる範囲のセルフチェックを試してみてください。
- 銀歯と歯茎の境目に黒い線や影、段差が見える
- 銀歯の縁が欠けている、ギザギザしている、浮いたような感じがする
- フロスや歯間ブラシが同じところで引っかかる
- フロスを通したあと、その部分だけ茶色く汚れたり、においが気になる
- 冷たいものや甘いものが銀歯のあたりだけしみる
- 何もしていなくても、銀歯の周囲にうずくような痛みや重だるさがある
- 口臭やマスクの中のにおいが強くなったと感じる
- 歯茎が下がって銀歯の縁や歯の根元が以前より長く見える
これらのうち一つでも気になる点があれば、自己判断で様子を見続けるのではなく、歯科医院で早めに相談しておくと安心です。
歯科医院で行う銀歯の隙間の治療法

銀歯の隙間が気になるときは、自己判断で様子を見るのではなく、歯科医院で適切な治療を選ぶことが大切です。ここでは、主な治療法について詳しく解説します。
銀歯の再装着
銀歯に隙間や浮いた感じがあっても、内部の歯に大きな虫歯がなく、銀歯自体がしっかりしている場合は再装着で対応できることがあります。
具体的には、銀歯を外して内側や歯の状態を確認し、問題がなければ古いセメントや汚れを丁寧に取り除いたうえで、新しい接着材で再び固定し直します。
ズレや浮きが軽度の段階であれば、再装着によってフィット感が改善し、隙間から汚れが入りにくい状態に戻せる可能性があります。
ただし、再装着はあくまでも条件が整っている場合に選べる選択肢であり、自己判断せず歯科医師に相談しながら決めることが大切です。
銀歯の作り直し
銀歯と歯の適合が悪くなっていたり、銀歯自体が変形や摩耗している場合は、新しく銀歯を作り直す必要があります。
まず現在の銀歯を外し、歯の形や虫歯の有無を確認したうえで、必要があれば形を整え、改めて型取り(もしくは口腔内スキャナー)を行います。
データをもとに、口の状態に合った新しい銀歯を製作し、仮合わせで噛み合わせやフィット感をチェックしながら装着します。
古い銀歯を何度も再装着して使い続けるより、適合の良いものに作り直したほうが、隙間や二次虫歯のリスクを抑えられることも少なくありません。
特に、装着から長い年月が経っている場合や、見た目が気になっている場合は、作り直しのタイミングで素材の変更を一緒に検討することもあります。
虫歯治療後の再補綴
銀歯の隙間から虫歯が進行している場合は、銀歯を外して付け直すだけでは不十分で、まず虫歯治療からやり直すことになります。
具体的には、銀歯を外してから虫歯になっている部分の歯質を丁寧に取り除き、必要であれば神経の治療(根管治療)も行います。
そのうえで、削った部分を土台として整え、改めて詰め物や被せ物を作製し、装着するという流れが一般的です。
虫歯の範囲が小さい場合は、比較的シンプルな再補綴で済むこともありますが、内部まで大きく広がっていると複数回の通院が必要になることもあります。
早い段階で受診すれば、削る量を減らして再補綴できる可能性が高まるため、早い段階で相談することが大切です。
噛み合わせ調整
銀歯の隙間や違和感の背景には、噛み合わせのバランスが関係していることがあります。
この場合は、上下の歯の接触状態や顎の動きを確認しながら、高く当たっている部分を調整し、噛む力が分散するように整えていきます。
また、歯ぎしりや食いしばりが強い方には、就寝時に使うマウスピースを併用し、歯や銀歯への過度な負担を減らす方法がとられることもあります。
噛み合わせ調整は、見た目の変化は少ないものの、長期的に歯と補綴物を守るうえで重要なステップです。
詰め物や被せ物の種類を変える
銀歯の隙間や見た目が気になる場合、治療のタイミングで詰め物や被せ物の素材自体を見直す選択肢もあります。
例えば、金属ではなくセラミックやジルコニアなどの白い素材を選ぶことで、歯との適合精度や接着性の向上が期待でき、隙間ができにくいとされています。
また、金属の色が見えないため、口を開けたときの見た目も自然に近づき、審美性が向上しやすい点も大きなメリットです。
歯科医師と相談しながら、素材ごとの強度・割れやすさ・費用・保険適用の有無などを確認し、自分に合った治療プランを組み立てましょう。
まとめ
銀歯と歯の間にできた隙間は、虫歯や歯周病の進行、銀歯の脱落、口臭悪化といったトラブルの入口になりやすい状態です。
多くの方が痛くないからと受診を先送りし、結果として神経の治療や抜歯など、大きな処置が必要になってから歯科医院に駆け込むケースも少なくありません。
銀歯の隙間が気になったら早い段階で原因を特定し、今の状態に合った治療法を選択することで、歯を守りながら将来の負担を減らすことが可能です。
銀歯の隙間や歯並び、痛みやしみるなどの違和感がある方は、『下高井戸パール歯科クリニック・世田谷』にご相談ください。
下高井戸駅から徒歩5分の場所にあり、可能な限り痛みを抑えた診療を行っています。大規模キッズルームも完備されているため、小さいお子様連れでも安心です。
銀歯の違和感が気になる方は、お気軽にお問い合わせください。
